Cabinet dentaire du Dr Bruno MARTIN et Dr Valérie HALL
Chirurgien-Dentiste à VALBONNE - 04 92 94 00 73
24 CHEMIN DU COLLET DARBOUSSON, 06560 VALBONNE
+33 4 92 94 00 73
Cabinet dentaire du Dr Bruno MARTIN et Dr Valérie HALL
Chirurgien-Dentiste à VALBONNE - 04 92 94 00 73

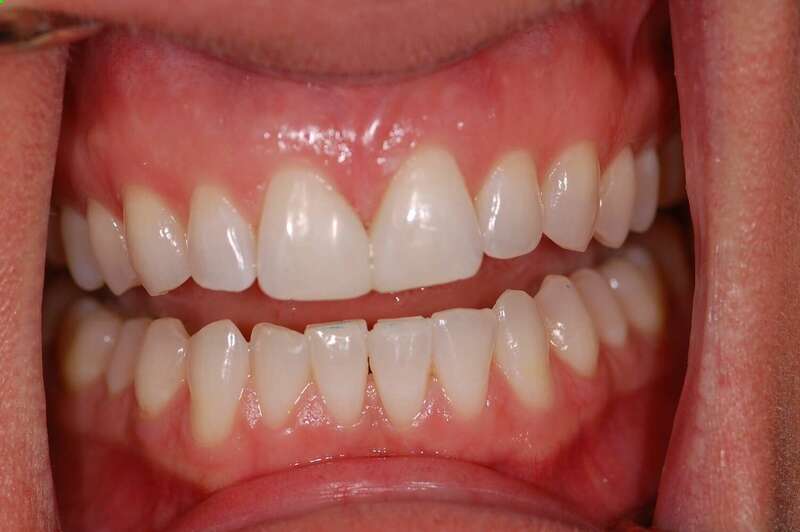
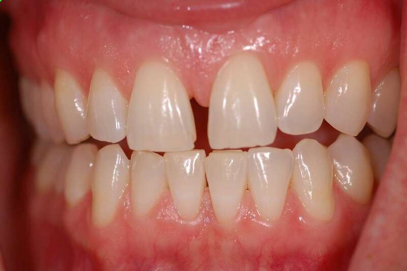
LES FACETTES CÉRAMIQUES


  • La technique des facettes céramiques permet de corriger durablement :


    - La teinte des dents lorsqu’il existe des colorations qui ne relèvent pas d’un simple blanchiment
    - Les malpositions légères, les espaces interdentaires (diastème)
    - Les anomalies de forme de la dent (trop étroite...)
    - Les usures dentaires, les dents fragilisées
    - Les traces liées à un déchaussement des dents

Avant
Après

Avant toute intervention le praticien recueille et analyse la demande du patient afin de vérifier que cette technique pourra répondre à ses attentes.

Un bilan bucco-dentaire est aussi effectué afin d’éliminer les contre-indications :
- Le parodonte doit être sain, ou assaini
- L’occlusion doit être favorable
- Le bruxisme (grincement des dents) peut être une contre-indication
A l’issue de ce bilan, complété par une étude et des radiographies, un devis sera établi.


L’intervention se déroule en trois phases

Première phase
Une étude attentive du visage, de ses aspects esthétique et fonctionnel permet de prévoir les futures facettes. Les facettes seront réalisées en fonction de la couleur et du grain de peau, de la forme du visage, de la courbure du sourire et de la couleur des yeux.
Une série de photos et d’empreintes sont effectuées, ainsi qu’un moulage qui servira de base aux essais ultérieurs.


Deuxième phase
Un masque, ou «mock up», élaboré à partir du moulage précédent sera placé en bouche, donnant la possibilité de voir le résultat potentiel. Cette ébauche, modifiable à volonté est retravaillée jusqu’à complète satisfaction. Ce masque est éventuellement laissé au patient pour qu'il puisse réfléchir, demander l'avis de ses proches, s’exprimer avec ce nouveau sourire.
A noter : une préparation des dents (hauteur et dimension) est parfois nécessaire pour accueillir au mieux les futures facettes.
En fonction du modèle retenu, une préparation pelliculaire a minima sur la face externe des dents sera effectuée, en retirant une infime couche d’émail (de 0,2 à 0,5 mm). L’intervention est indolore.


Troisième phase
Les facettes définitives sont alors essayées puis collées sur les dents.
Le praticien pourra agir, à ce moment encore, sur la teinte en utilisant des résines de collage plus ou moins claires.

Cette technique est tout à fait fiable, grâce à l'utilisation d’adhésifs très résistants dans le temps et au matériau céramique dont la surface vitrifiée permet un maintien permanent de la teinte au cours des années.


video-play-icon

Facettes

Nos conseils

  • Si vous êtes préoccupé par l'aspect de vos dents (teinte, usure, anomalies de forme,...) les facettes céramiques peuvent être une réponse adaptée à votre cas.
  • La pose de facettes est un traitement esthétique qui fait appel à des technologies complexes et délicates.
  • Cette intervention n’est pas prise en charge par la Sécurité Sociale.

Articles similaires

Création par Webdentiste

Connexion